杭州爱善科技有限公司~欢迎您!
请登录
免费注册
手机站
7*24小时服务热线:
13376839060
网站首页
关于我们
公司简介
企业文化
荣誉资质
联系我们
新闻资讯
产业动态
产品资讯
企业历程
主营产品
保健食品
护理用品
产品服务
资源下载
在线帮助
科研合作
内部管理
企业邮箱
企业网盘
交流问答
新闻资讯
致力于:健康产品推广及良好的用户体验
首页
新闻资讯
产业动态
新闻资讯
产业动态
产品资讯
企业历程
产业动态
一张图了解各地的冬虫夏草
一张图了解各地的冬虫夏草
冬虫夏草
产地
形态
参考
特征
海拔
解析
说明
05-05
2025年中国冬虫夏草行业市场现状及发展趋势分析
2025年中国冬虫夏草行业市场现状及发展趋势分析全球气候变暖导致雪线上升,以及人为过度采挖等因素,冬虫夏草资源日益减少,面临着濒临灭绝的危…
冬虫夏草
发酵冬虫夏草
产业化冬虫夏草
蝙蝠蛾被毛孢
虫草
人工
赐富
精华
延芝堂
03-12
冬虫夏草的微生物群落组成多样性-2016
对天然虫草内生菌群及其关联微生境的微生物组成结构和多样性进行了系统的研究,从而揭示了天然虫草不同类型菌群中的本质差异,并为从微生态学…
冬虫夏草
微生物群落
组成多样性
药用价值
03-22
化维纤胶囊相关医药学基础知识
1、何谓细胞外基质(ECM)?细胞外基质是在个体发育过程中由细胞合成并分泌到细胞外的生物大分子所构成的动态网状结构(主要由胶原蛋白、蛋白聚…
化维纤
蝙蝠蛾被毛孢
冬虫夏草
纤维化
医药
临床
02-03
化维纤胶囊由来
胡卓伟博士经过在国外数年对组织纤维化疾病的研究中发现,纤维增生性疾病病因众多,机制复杂,属于典型的多基因、多表型疾病,只有能够干预多…
02-03
器官纤维化的研究概况
一、概念:器官纤维化是指由于炎症刺激器官实质细胞发生坏死,组织内细胞外基质(ECM)异常增多和过度沉积的病理过程,轻者称为纤维化,重者引…
02-03
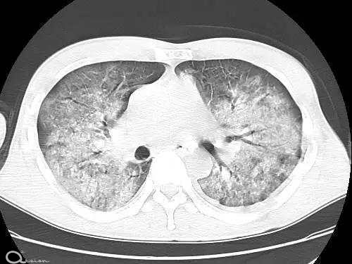
新冠中的白肺究竟是什么 它和肺炎、肺纤维化有什么区别
关于新冠感染后进展为“白肺”的话题频登热搜,“肺炎”“白肺”“肺纤维化”等话题引发网友关注和热议。这三种症状到底有何区别? 本站综…
白肺
肺纤维化
肺炎
缺氧
新冠
咳嗽
01-06
虫草或具有新冠病毒抑制活性
今年,美国化学协会旗下的ACSOmega期刊(最新IF4.132)发表了学者AmgadM Rabie博士团队的研究成果提示:“虫草素”或具有卓越的新冠病毒抑制活性,可促进新冠综…
发酵冬虫夏草
冬虫夏草
化维纤
缓解
12-22
加强肺部功能中药首先冬虫夏草及丹参
汤毅 --加强肺部功能中药首先冬虫夏草及丹参天津中医药大学第一附属医院国医堂主任医师 天津市卫计委科普巡讲专家
12-22
赐富牌蝙蝠蛾被毛孢菌粉胶囊“新品”上市
发酵冬虫夏草胶囊,从菌种到菌粉,双重DNA检测
赐富胶囊
发酵冬虫夏草
产业化冬虫夏草菌
蝙蝠蛾被毛孢
增强免疫力
08-10
第十一届中国国际健康产品展览会 圆满完成
杭州爱善科技有限公司参加第十一届中国国际健康产品展览会 圆满完成! 由中国医药保健品进出口商会与上海博华国际展览有限公司联合主办的“第…
11-30
iSEE食品创新力百强
来自于,Foodaily每日食品的一段话:2019年,在国内食品饮料赛道,我们看到了边界的突破,看到了创新带来的增长,看到了不断试错默默蛰伏后的大爆…
09-07
助力渠道经销商:赐富胶囊产品宣传照
赐富产品宣传照片
赐富胶囊
冬虫夏草
蝙蝠蛾被毛孢
发酵冬虫夏草
产业化冬虫夏草菌
保健食品
冬虫夏草
蝙蝠蛾被毛孢
发酵冬虫夏草
产业化冬虫夏草菌
05-11
助力渠道经销商:赐富胶囊广告宣传片一
赐富胶囊首个广告宣传片
赐富胶囊
广告宣传
发酵冬虫夏草
关注健康
05-11
2020年中国最受关注的保健品品牌十大排行榜
保健品从20世纪80年代起步的,历经30多年的发展,目前已进入一个前所未有的高速发展时期,产业规模高达千亿。市面上的保健产品也数不胜数。
关注
保健食品
十大品牌
千亿规模
05-02
世卫组织:已有抗体人群比例低 绝大多数人仍易感
在病毒传播密集地区,已有抗体的人群比例仍很低,意味着绝大多数人仍易感
05-02
京东健康推出品质甄选标准 打造更优质健康商品池
京东模式,健康美好生活,品质甄选标准
京东健康
推出
品质甄选标准
04-24
盘点全球十大热门医疗旅游胜地
福布斯中文网发布的奢华旅游景点
全球
医疗旅游
十大热闹
健康
养生
04-22
保健食品企业助力抗疫一线
保健食品企业助力抗疫一线以下截图来自中国保健协会官网的权威发布:===============================
中国
保健协会
保健建议
防控
新型
04-22
中国保健协会关于防控新型冠状病毒肺炎的保健建议
中国保健协会发布了“关于防控新型冠状病毒肺炎的保健建议”。
中国
保健协会
保健建议
防控
新型
04-22
总数:22
1
2
下一页
1/2
杭州爱善科技有限公司~ 版权所有 © 2008-2026 Inc.
浙ICP备15044764号
网站地图
Processed in 0.144914 s , Memory 4.61 M , 17 queries
使用【微信】扫一扫加好友
在线留言
返回顶部